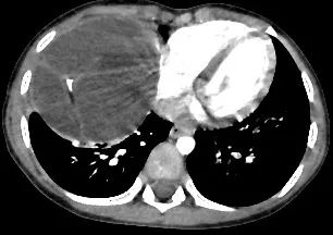
近日,广东医科大学附属医院胸外科主任医师梁克成功完成了一例切除巨大纵隔畸胎瘤的手术。患者是年仅4岁的孩子,因为持续高热、咳嗽和呕吐,在当地医院内科治疗后病情没有明显好转。于是家长带着孩子来到广东医科大学附属医院儿童医学中心,该中心副主任医师田川为孩子做了进一步的诊治,胸部CT结果显示前纵隔中下偏右侧见类圆形混杂密度影,内见分隔、钙化及脂肪样密度,大小约79mmX88mmX98mm,初步判断为畸胎瘤可能性大。

术前CT图像
经全院MDT多学科讨论后,最终决定由胸外科主任医师梁克团队进行手术外科治疗。梁克团队为减少孩子的手术创伤,选择了小切口胸腔镜下右前纵隔肿块切除术,术中发现该肿块和右上肺、右中肺有局部侵犯,同时行肺局部楔形切除术。


手术顺利完成,术中取出巨大肿物,术后患儿转送儿科ICU,儿童重症专科主任医师蔡娜莉带领医护团队为患儿制定个体化康复方案,患儿术后高热快速消退,呕吐症状消失,咳嗽逐渐减少,顺利康复,展示了广东医科大学附属医院胸外科、儿科过硬的综合诊治水平。
纵隔畸胎瘤小科普
什么是纵隔畸胎瘤?
纵隔畸胎瘤通常发生在胸腔中纵隔的位置,畸胎瘤通常包含皮肤、毛发、牙齿、骨骼、油脂和神经组织等异常组织,其结构类似于胚胎。
纵隔畸胎瘤的症状有哪些?
纵隔畸胎瘤早期通常是无症状的,大多数患者是在体检或其他影像学检查时偶然发现的。随着肿瘤的增大,将会引起压迫症状,如呼吸困难、胸痛和咳嗽。大部分畸胎瘤是良性的,恶性转化的可能性低。
如何诊断纵隔畸胎瘤?
诊断纵隔畸胎瘤通常需要进行影像学检查,如X光、CT扫描或MRI(磁共振成像)。如果这些检查显示胸腔内或纵隔内异常肿块,医生可能会建议进行手术切除以进行病理检查。
治疗纵隔畸胎瘤的方法
对于良性纵隔畸胎瘤,通常需手术切除治疗。在手术过程中,医生会切除整个肿瘤,并尽量不损伤周围的正常组织。大多手术后预后良好。
预防纵隔畸胎瘤的措施
纵隔畸胎瘤是一种罕见的疾病,定期进行身体检查可以及早发现和治疗潜在的疾病。
总的来说
纵隔畸胎瘤
是一种相对罕见的肿瘤
大多数是良性的
如果检查发现
纵隔内异常肿块
请咨询医生进行评估和治疗
专家介绍

梁克
主任医师
外科学博士
中共党员
学术任职:
广东医科大学附属医院(胸心外科)专业住培基地 秘书
广东省医学会物理与康复学分会青年委员
广东省胸部疾病学会肺癌多学科治疗专业委员会委员
广东省胸部疾病学会胸部创伤管理专业委员会委员
广东省卫生信息网络协会胸部疾病信息化分会委员
湛江市医学会心胸外科分会委员
2002年毕业于广东医科大学,毕业后从事心胸外科临床、教学、科研工作20余年,精通以达芬奇机器人辅助胸腔镜、电磁导航纤维支气管镜及肺部3D重建等先进技术为支撑的肺癌微创精准诊治方法(尤其擅长肺部小结节的精准诊断和微创手术),在完整切除肿瘤的同时能更好地保留患者的肺功能,同时对食管癌、纵隔肿瘤、胸部创伤等以手术为主的综合治疗亦有着丰富的经验。主持或参与多项省市级医学课题及教学课题,以第一作者或通讯作者在国内外期刊发表论文20余篇,参编专著1部。湛江市高层次人才,胸外科纵隔疾病亚专业负责人,科室临床业务骨干及教学骨干,曾于2019年至2021年作为广东省三甲医院卫生医疗人才“组团式”帮扶专家团队队长及大外科主任委派至下级医院开展医疗帮扶工作。多次评为医院“优秀员工”“优秀教师”“优秀住培带教老师”,
出诊时间:
每周二下午 门诊大楼4楼 434诊室
每周三上午 特需门诊9楼16号诊室