账号注册

当前位置:

首页 >> 新闻中心 >> 医院动态 >> 正文

成效 | 广东医附院胸外科胸壁重建再上新台阶

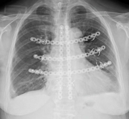
近日,广东医附院胸外科在梁柱主任、王志刚教授带领下,由胸壁外科亚专业负责人谢占强副主任医师完成一例高难度胸骨肿瘤切除+胸壁重建术。该手术采用了先进的MatrixRIB胸肋骨内固定系统,塑形更符合胸廓解剖特点,且稳定性可靠。





69岁女性患者,因“反复胸疼5月余”入院,查体胸骨区有压痛,入院后完善相关检查,行胸部CT提示:胸骨肿瘤,完善术前检查,行肿瘤切除+胸壁重建术,目前患者已康复出院。

▲胸壁三维重建(橙色区域为胸骨肿瘤)

▲MatrixRIB胸肋骨内固定系统胸壁重建


胸骨切除术后用于胸廓重建移植物的吻合度和技术可行性一直是胸外科的难题。传统的材料在胸廓重建中也有一定的支撑作用,但传统材料在形状、功能、吻合度等方面都有局限性,且术后患者恢复较差,肺功能受到影响,在外观上也有影响,此手术的完成标志着我科胸壁肿瘤切除+胸壁重建术再上新台阶!


胸壁外科亚专业技术团队致力于重症胸外伤的救治、胸壁重建、胸廓畸形的矫治,服务诊疗疾病范围包括:胸部损伤、胸廓畸形、胸壁缺损、胸壁肿瘤及胸壁感染等,治疗目标包括:(1)恢复胸廓硬度和完整性;(2)维持胸壁外观效果;(3)防止肺疝和反常呼吸;(4)防止肩胛骨刺入胸腔(尤其第5-6肋骨切除术后)等。

谢占强


在读博士

副主任医师

胸壁外科亚专业负责人


1

学术任职:

广东省胸部疾病学会胸部创伤管理第二届专业委员会常务委员

广东省胸部疾病学会肺癌多学科治疗专业委员会委员

广东省胸部肿瘤防治研究会委员

广东省胸心外科医师协会湛江分会委员

湛江市医学会肺部肿瘤学分会委员

湛江市医学会心胸外科分会委员

2010年毕业于广东医科大学临床医学专业,获硕士学位,毕业后就职于广东医科大学附属医院心胸外科。2017年曾在广州医科大学附属第一医院心胸外科进修学习。2022年7月至2023年6月担任广东医科大学附属东莞第一医院胸外科负责人。现攻读暨南大学胸外科博士学位,现任胸壁外科亚专业负责人,工作期间多次被评为医院“优秀员工” “优秀教师”。

2

诊疗专长:

熟练掌握达芬奇机器人辅助胸腔镜、电磁导航支气管镜及胸壁、肺部三维重建等先进技术,擅长复杂胸壁重建,同时擅长肺结节的微创手术治疗,纵隔肿瘤、胸腺瘤、食管癌、食管良性肿瘤、肺大泡并自发性气胸、手汗症等疾病的诊治,并擅长肺癌的个体化精准治疗。

参与国家级课题一项,主持及参与多项省市级科研项目,在国内外杂志发表20余篇论文,被SCI收录2篇。以主编身份参编著作2部。

3

出诊时间:

每周四下午 门诊大楼4楼 434诊室

关闭

友情链接

COPYRIGHT © 2022 广东医科大学附属医院 版权所有 粤ICP备18072076号

预约咨询:0759-2369336

地址:湛江市霞山区人民大道南57号

邮编:524001

  • 微信服务号

  • 微信订阅号